• Lưu ý rằng: Quý vị hãy chia sẻ link của bài viết, video đến người thân, bạn bè để khi độc giả thắc mắc thì We Are 1 kịp thời hỗ trợ. Không copy rồi đăng lại tránh mất các dòng tin đính kèm màu xanh (link); cũng là vi phạm bản quyền. Mời đọc kỹ “Tuyên bố bản quyền” ở cuối bài để không mất lòng nhau và hối tiếc khi chúng tôi kiện bản quyền (kể cả cá nhân và các kênh truyền thông). Xin đa tạ!
Có thứ gì trong vắc xin khiến cho số ca nhiễm COVID ngày càng tăng lên sau chiến dịch tiêm vắc xin toàn cầu? Một số nhà khoa học đã tự phân tích các mẫu vắc-xin để tìm hiểu vấn đề này.
Trong 4 năm qua, cộng đồng chính nghĩa tại Mỹ đã loan tải nhiều tin tức sự thật về vắc-xin. Trong bài viết này, We Are 1 sẽ tóm lược lại để người Việt có thể đọc và hiểu dễ nhất; đồng thời nhìn được bức tranh toàn cảnh và có thể tự trả lời được những vấn đề như đột tử hậu vắc-xin đang diễn ra tên toàn thế giới, kể cả tại Việt Nam
“Ngũ độc” ở đây không mang nghĩa là 5 loại độc, người phương Đông dùng chữ “ngũ độc” để chỉ những chất kịch độc hoặc người tâm địa rất gian ác, và bài viết này cũng dùng từ với ý nghĩa như vậy. Mời Quý vị đọc từ từ.
Đây là những thứ mà người ta phát hiện ra trong vắc-xin:
1. Graphene:
Là chất tạo ra từ tính tại vết tiêm trên da, có thể hút các vật nhẹ trên tay như chìa khoá, thẻ ngân hàng… Dưới tác động của sóng 5G, người tiêm vắc-xin sẽ trở thành một trạm phát sóng di động. Hiện tại Trung Quốc là nước sở hữu các trạm phát sóng 5G tại rất nhiều nơi trên thế giới.
Cùng thời điểm đại dịch COVID diễn ra trên toàn cầu thì các trạm phát sóng 5G đã tăng lên một cách bất ngờ tại nhiều nơi như Mỹ , Úc… Ví dụ: tại Úc lúc đại dịch bùng phát, người dân không được ra ngoài nhưng những công nhân lắp đặt trạm 5G thì vẫn được phép ra ngoài thi công.
Các triệu chứng biểu hiện ngộ độc sóng điện từ là: chóng mặt mệt mỏi, buồn nôn, khó thở… rất giống với triệu chứng COVID.
Ảnh do tiến sĩ Robert Young chụp:



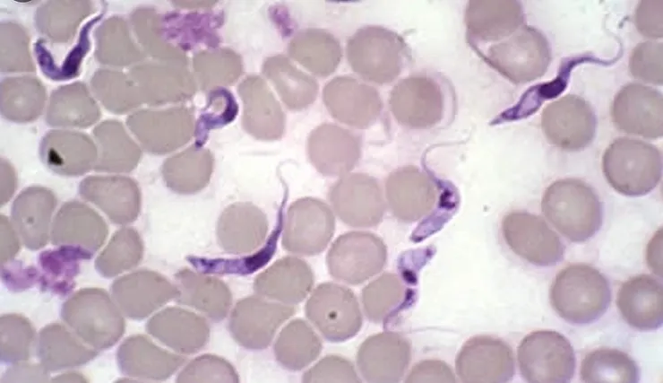
2. Ký sinh trùng:
Dưới kính hiển vi, tiến sĩ Robert Young đã phát hiện ra có ký sinh trùng tồn tại trong vắc-xin.


Quý vị đã biết thời gian gần đây thế lực ngầm đang loan báo về việc sử dụng bột côn trùng trong thực phẩm. Vì sao họ cổ xúy cho việc ăn thực phẩm có chứa bột này? Bởi vì ít ai biết ràng trong lớp vỏ côn trùng có chất kitin, chất này giúp ký sinh trùng tạo lớp áo giáp bảo vệ, giúp chúng phát triển trong cơ thể người.
Một điều đáng kinh ngạc là rất nhiều người Mỹ đang mắc ký sinh trùng và gây ra đủ loại bịnh tật trong đời sống hiện nay như thiếu tập trung, mệt mỏi, mất ngủ, chán ăn, giảm thị lực… Khi loại bỏ được ký sinh trùng thì nhiều người đã trở nên khoẻ mạnh một cách kỳ diệu.
Bác sĩ Jason Dean có một liệu pháp rất hiệu quả để loại bỏ ký sinh trùng ra khỏi cơ thể mà quý vị có thể tham khảo tại website: https://bravetv.store (mã giảm giá 20 USD: MAN)
3. Cấu trúc nano tự lắp ghép
Bác sĩ David Nixon đã đưa ra video quay dưới kính hiển vi cho thấy hình ảnh các cấu trúc nano tự vận hành và tập hợp bên trong dung dịch vắc-xin COVID. Các cấu trúc này có thể lấp đầy mạch máu của người đã tim vắc-xin COVID.
Ông Matt Hancock (cựu Bộ trưởng Bộ Y tế của Anh) gần đây bị lộ 100.000 tin nhắn WhatsApp. Trong đó có 1 tin nhắn ông này đùa rằng Bill Gates nợ ông ta một ân huệ vì trong vai trò Bộ trưởng, ông đã làm cho không biết bao nhiêu người Anh phải tiêm chip của Bill Gates vào cơ thể. Liệu có phải ông ấy ám chỉ tới những cấu trúc nano này hay không?
Một thông tin ngoài lề: gần đây cụm từ “transhumanism” xuất hiện khá phổ biến trong giới truyền thông chính nghĩa, họ nói về âm mưu máy móc hoá con người (gắn chip vào người) – để chính phủ độc tài có thể giám sát và kiểm soát toàn bộ mọi công dân thông qua công nghệ 5G và trí tuệ nhân tạo (công nghệ 5G là để truyền dữ liệu, còn trí tuệ nhân tạo AI là để làm việc với dữ liệu khổng lồ đó). Các tín hữu Cơ-đốc giáo của Mỹ còn hay trích dẫn “ấn ký của ma quỷ” trong sách Khải Huyền (Revelation 13-16) như sau:
(16) He causes all, both small and great, both rich and poor, both free and slave, to receive a mark on their right hand or on their forehead, so that no one may buy or sell, except he who has the mark or the name of the beast or the number of his name.
“Hắn làm cho mọi người, từ nhỏ tới lớn, cả giàu lẫn nghèo, cả tự do và nô lệ, phải nhận một ấn ký ở tay phải hoặc trước trán, làm cho không ai có thể mua hoặc bán, trừ khi họ có ấn ký hoặc tên của con thú hoặc số hiệu tên tuổi của họ.”
4. Nọc độc trong vắc-xin
Đã có thời gian rất nhiều bác sĩ trong cộng đồng chính nghĩa bài xích về sự tồn tại của nọc độc (venom) trong vắc-xin, tuy nhiên đến hiện nay giả thuyết này đã được chứng minh qua bộ phim tài liệu “Covenom-19” :
Nọc độc của ốc sên biển (shellfish) đã được CIA sử dụng từ 50 năm trước cho các nhiệm vụ ám sát, nọc độc này có đặc điểm là gây ra đau tim và tử vong nhưng không để lại dấu vết gì khi khám nghiệm pháp y.

Nọc độc của rắn hổ mang chúa gây ra đông máu và suy đa tạng, nhưng nếu một người không biết là mình bị nhiễm độc tố này và nếu họ chỉ nhìn vào triệu chứng thì sẽ không bao giờ tìm ra nguyên nhân gây ra tử vong.
CIA đã từng làm thí nghiệm đầu độc chính nhân viên CIA trong một toà nhà thông qua nguồn cung cấp nước, sau đó họ kiểm tra các mẫu nước thải của toà nhà để biết bao nhiêu chất độc còn sót lại. Điều thú vị là CDC Mỹ cũng bắt đầu tiến hành kiểm soát nước thải tại nhiều nơi khi đại dịch COVID xuất hiện. Nếu muốn đầu độc người dân, họ cần xem xét lượng Clo trong nước, vì Clo sẽ làm giảm tác dụng của nọc độc. Họ đầu độc thông qua nguồn nước, rồi dùng xét nghiệm PCR, một loại xét nghiệm không hề đáng tin cậy, để tạo ra kết quả người dân bị “dương tính” với COVID, tạo ra ấn tượng rằng đang có một loại “bịnh hô hấp” lây lan.
Loại thuốc mà FDA chỉ định trong giai đoạn đầu của COVID là Redemsivir, thuốc này chiết xuất từ nọc độc rắn. Tác dụng của nó gây ra suy đa tạng và gây ra tỉ lệ tử vong ở vào khoảng 50% ( tức là nếu 10 người dùng thuốc này thì khoảng 5 người sẽ tử vong)
Báo cáo khoa học đã phát hiện nhiều loại peptide chất độc của nhiều loại rắn và ốc sên biển trong phân và nước tiểu của bịnh nhân COVID. Đây là bằng chứng quan trọng nhất.
Công nghệ sinh học hiện đại đã tìm ra cách sản xuất chất độc rắn với số lượng lớn, thậm chí sản xuất các hạt cơ quan (organoid) của tuyến nọc, để các hạt này sản sinh ra chất độc. Dưới kính hiển vi, người ta đã quan sát thấy các hạt cơ quan này có tồn tại trong vắc-xin, chúng tạo ra các phân tử nhỏ hơn và chúng được kích hoạt để tạo ra độc tố ra sau khi vào trong cơ thể.
“Corona” nghĩa là “vương miện của vua chúa” và “virus” trong tiếng Latin nghĩa là “chất độc”, “virus corona” có thể là một lối chơi chữ với ý nghĩa “chất độc của hổ mang chúa”.
COVID được xem bịnh hô hấp, nhưng những người hút thuốc lá lại là đối tượng ít bị nhiễm COVID-19 nhất, vì sao lại như vậy? Vì nicotin trong thuốc lá có tác dụng chống nọc độc rắn đi lên não. We Are 1 đã từng chứng kiến một trường hợp như vậy, trong gia đình có 3 thành viên thì chỉ người hút thuốc lá là không bị nhiễm COVID trong khi họ ở cạnh 2 bịnh nhân trong thời gian dài.
Hoạt chất nào có thể giải được các độc tố đó? Vitamin C, vitamin D liều cao, Ivermectin, thuốc ký ninh Hydroxychloroquine. Đây đều là các phương pháp điều trị COVID rất nhanh và hiệu quả. Mời xem thêm video “Ấn độ xóa dịch COVID bằng Ivermectin” và “Donald Trump dùng thuốc ký ninh”.
Như vậy, COVID-19 ban đầu là một đại dịch nhân tạo với tỷ lệ tử vong cực thấp tại Mỹ (chưa tới 1%), nhưng qua tuyên truyền của truyền thông cánh tả và phong toả gây hoang mang trong dân chúng, họ ép người dân đi tiêm vắc-xin, và vắc-xin mới là liều thuốc độc thực sự, gây ra cái chết từ từ trong dân chúng. Dùng nọc độc chính là loại vũ khí sinh học cổ xưa nhất.
Mời xem bộ phim tài liệu “ Âm mưu đại dịch”:
Trên đây là những thông tin We Are 1 góp nhặt được, dưới góc nhìn cá nhân chúng tôi cho rằng tuỳ theo lô vắc-xin, tuỳ theo từng khu vực, mà có thể có cả 4 thứ ở trên, hoặc chỉ có 1 thứ hoặc không có chất độc. Vì các lô vắc-xin không đồng nhất nên việc phát hiện sẽ khó khăn hơn.
Riêng trong vấn đề nọc độc, có 2 chi tiết đáng chú ý:
Thứ nhất là CIA đã áp dụng loại chất độc này từ lâu rồi. CIA vốn là tổ chức nằm dưới sự kiểm soát của thế lực ngầm, chính họ đã thực hiện vụ ám sát tổng thống Kennedy năm 1963. Và thế lực ngầm đứng đằng sau gây ra đại dịch này. Vì thế chi tiết liên quan tới CIA là rất quan trọng để kết nối mọi thứ.
Thứ hai, nhìn từ góc độ của Cơ-đốc giáo, việc đưa DNA của rắn (con vật đại diện cho tội lỗi, sự xấu xa) vào cơ thể người là một hành động mang ý nghĩa chống lại Thiên Chúa ở mức độ cao nhất. Vì thế lực ngầm tôn thờ Satan, nên chúng sẽ muốn thực hiện một loại tội ác như vậy. Giả thuyết nọc độc rắn đáng chú ý ở chỗ nó đạt được cả sự liên kết cả về mặt ngôn ngữ và ý nghĩa tâm linh, nhưng đồng thời nó cũng rất đáng buồn và bi thương cho con người.
“Không lời dối trá nào họ không dám nói, và không tội ác nào họ không dám làm”
We Are 1 đã từng nhấn mạnh điều này trong video về Thế lực ngầm, quả thực là như vậy, theo lối nói của người phương Đông thì họ đã dùng “đủ cả ngũ độc” để hãm hại nhân loại.
Các tin LIÊN QUAN
💁 TUYÊN BỐ BẢN QUYỀN:
Quan điểm đưa ra trong video, bài viết của We Are 1 không có ý định xúc phạm bất kỳ tôn giáo, nhóm thiểu số, tổ chức, công ty, cá nhân hay bất kỳ ai.











